
一般開業歯科で骨が足りないため、人工歯根は植えられないと言われる患者様は多いと思われます。しかし現在の技術進歩により抜歯、外傷により失われた骨を元に戻す骨造成手術が可能となっています。
当科でも種々の骨造成手術を行い、人工歯根を植えるために顎堤を形成する手術を多数行っております。骨がないと言われても、治療を断念する必要は全くありません。
さらに自家骨移植する場合、ほとんど口の中から骨をとりますので、顔や腰には傷がつきませんので御安心ください。手術は静脈麻酔で行い、術中の記憶はほとんどありませんので、御安心下さい。
1) 部分的な骨欠損 (細片移植)
部分的な骨の欠損には自家骨を細片にして移植します。


2) 比較的広い範囲の欠損(ブロック移植)
骨をブロックで採取し、チタンのネジで止めます。骨採取にかかる時間は15-20分 です。


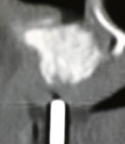
3) 上顎臼歯部での歯槽骨欠如
上顎臼歯部では上顎洞があり、歯槽骨の高さがなく、インプラントを植える事が困難な場合があります。しかし上顎洞の底部に骨を移植して、十分な骨を作ることが可能です。下の写真の術前のCTでは非常に薄い骨があるのみで、到底人工歯根は植えられません。しかし上顎洞下部に骨移植を行い、十分な骨を造成する事ができます。骨が足りない場合は人工骨(β-TCP)を自家骨に混ぜて、増量します。




術後CTで白くなっているのが、新しく出来た骨です。
4) 歯槽骨延長法
更に著しい骨欠損については骨に部分的に切れ目をいれ、装置を装着し、術後1日0.5-1 mm程度ずつ拡げ、骨移植をせずに骨造成をはかる方法もあります。

