HOME
facebook
お問い合わせ
歯科口腔外科
顎変形症
口腔インプラント
入院抜歯
顎関節症
ペインクリニック
怖くない歯科治療
ホワイトニング治療
下顎臼歯部欠損
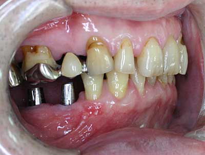
最も多い形の欠損です。奥歯がなくなると前歯の負担が強くなって、上の前歯が前に倒れてきます。
@ インプラント植立3か月後、インプラントの上に土台を立てます。
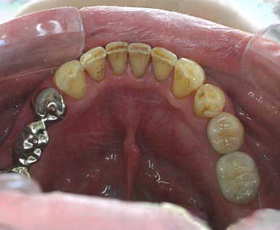
A 上から見たところです。歯肉はきれいに治っています。
B 白い冠を入れます。
C ほとんど周囲の歯とわからなくなり、安定したかみ合わせが得られます。
顎変形症
口腔インプラント
入院抜歯
顎関節症
有病者・障害者歯科治療、ペインクリニック
怖くない歯科治療
ホワイトニング治療
歯科口腔外科