
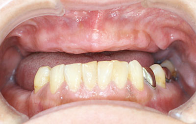
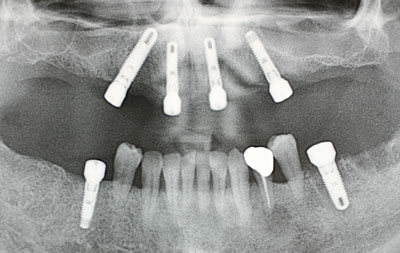
インプラント治療の進歩によって、上下顎ともインプラントを4本埋入(骨の中に植える)し、24時間以内にインプラント義歯を装着し、すぐに食べられるような治療が可能になりました。
下顎では以前から即時荷重を行って参りましたが、上顎では骨が柔らかく、さらに骨の量が足りない場合も多く、行っておりませんでした。しかし平成19年から上顎の即時荷重を開始し、平成23年3月まで50例以上行いましたが、脱落したインプラントは2本のみで、歯ぎしりをなさる患者様(1人で2本)でした。






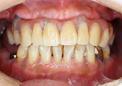
インプラントと周りの歯肉が安定したところで形をとって、最終のインプラント義歯を装着します。
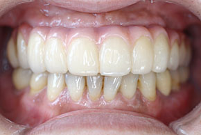
ほとんど自分の歯と見分けがつかない程度にきれいになります。もちろん口蓋の部分には義歯はなく、歯だけですので違和感はほとんどありません。患者様には例外なく喜んでいただいています。このインプラント義歯は取り外しできるため、当科で1年に1度外して、きれいにします。
本治療は4本埋入を基本としますが、骨の質が悪い場合、1-2本埋入本数は増加します。また即時荷重はインプラントがしっかり埋入できた場合のみ行える治療ですので、骨が柔らかい場合、即時荷重はできず、術後2か月ほどインプラントと骨の結合を待つ場合があります。
料金はかかる費用をほぼすべて加算し、上下とも各220万円程度です。